当院に関するご案内
費用に関するご案内
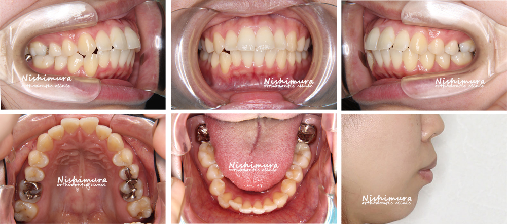
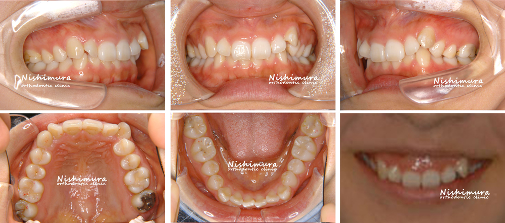
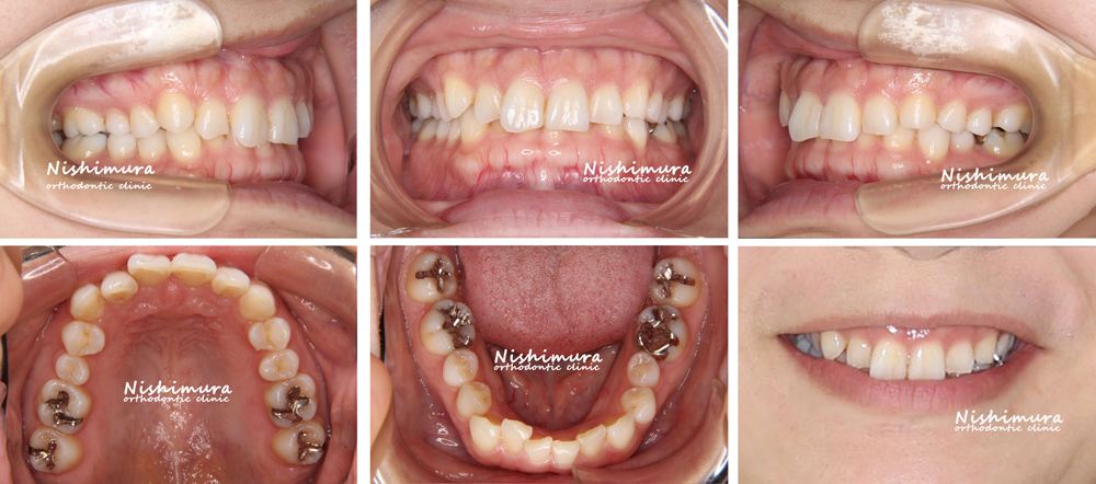
治療に関するご案内
その他
診療時間
-
月・火・水・金
12:00~15:00
16:00~20:00
-
土曜
9:00~13:00
14:00~18:00
-
休診日
木曜・日曜・祝日
診療カレンダー
アクセス

- 仙台市青葉区国分町2丁目2-5
柴崎ビル1F(大きな地図で見る)
- 仙台市地下鉄南北線 広瀬通駅 西5番出口より徒歩5分
お車でお越しの方に、提携駐車場サービス券(最大1時間分)をお渡ししております。受付に駐車券をご提示ください。
»提携駐車場のご案内はこちら。