トップページ > 症例集 > 口元が出ている(口ゴボ) 症例2

口元が出ている(口ゴボ) 症例2

主訴:
前歯の突出(出っ歯)、横顔の見た目、下顎前歯が歯茎に当たって痛い
主な症状:
過大なOverjet、アングルⅡ級不正咬合、過大なスピー湾曲、口唇閉鎖不全
年齢:
25歳
治療に用いた主な装置:
マルチブラケット装置、歯科矯正用アンカースクリュー
抜歯部位:
上顎両側第一小臼歯、下顎右側第一小臼歯、下顎左側第二小臼歯
治療期間(調整回数):
2年 3ヵ月(25回)
治療費概算:
約86万円税込(矯正歯科治療は公的健康保険の適用外の自費診療となります。)
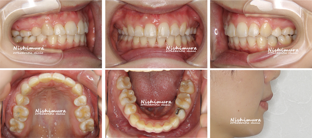
治療前
治療前の写真
治療後
治療後の写真

リスクと副作用

  • ※歯科矯正治療による歯の移動による主なリスク(副作用)としては、歯根吸収や歯肉退縮が生じる可能性があります。
  • ※歯を移動する力により、痛み(3日前後)や違和感が出る場合があります。矯正装置の刺激で歯肉の炎症や口内炎が生じる場合があります。
  • ※装置の装着により歯磨きがしにくくなりますので、歯磨きが不十分な場合、虫歯や歯の変色・歯肉炎や歯周炎が発生するリスクがあります。
  • ※歯を動かし終わった後に、リテーナーの不使用、舌癖や歯ぎしりなどの影響により、後戻りや新たな不正咬合が出現する場合があります。
  • ※治療前後の口元の軟組織変化には皮膚の硬さなどの要因により個人差があります。
  • ※その他「矯正歯科治療に伴う一般的なリスク・副作用」に関する詳細はこちらに掲載していますのでご参照ください。
  • ※治療期間は症例により異なりますが、乳歯の残っているお子さんの治療の場合、第一期治療で12~24か月、経過観察期間後の第二期治療で12~24か月を要することがあります。
  • ※表示されている「治療費概算」は、契約を行った当時の治療費(税込)です。現在の治療費の詳細については、料金表をご参照ください。

当院に関するご案内

費用に関するご案内

治療に関するご案内

その他

診療時間

  • 月・火・水・金

    12:00~15:00
    16:00~20:00
  • 土曜

    9:00~13:00
    14:00~18:00
  • 休診日

    木曜・日曜・祝日

診療カレンダー

アクセス

  • 仙台市青葉区国分町2丁目2-5
    柴崎ビル1F(大きな地図で見る)
  • 仙台市地下鉄南北線 広瀬通駅 西5番出口より徒歩5分
  • お車でお越しの方に、提携駐車場サービス券(最大1時間分)をお渡ししております。受付に駐車券をご提示ください。
    »提携駐車場のご案内はこちら。
スタッフブログ