トップページ > 症例集 > 出っ歯 症例2

出っ歯 症例2

主訴:
上の前歯が出ている、下の前歯が凸凹している
主な症状:
過大なOverjet、過蓋咬合、叢生
年齢:
36歳
治療に用いた主な装置:
マルチブラケット装置、歯科矯正用アンカースクリュー
抜歯部位:
上顎両側第一小臼歯、下顎右側第一小臼歯、下顎左側第二小臼歯
治療期間(調整回数):
2年 1ヵ月(25回)
治療費概算:
約87万円税込(矯正歯科治療は公的健康保険の適用外の自費診療となります。)
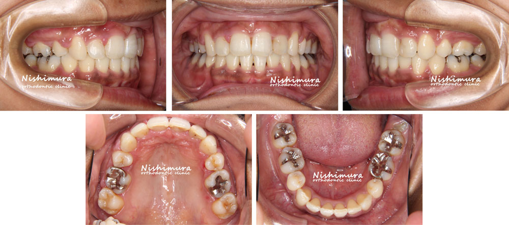
治療前
治療前の写真
治療後
治療後の写真

リスクと副作用

  • ※歯科矯正治療による歯の移動による主なリスク(副作用)としては、歯根吸収や歯肉退縮が生じる可能性があります。
  • ※歯を移動する力により、痛み(3日前後)や違和感が出る場合があります。矯正装置の刺激で歯肉の炎症や口内炎が生じる場合があります。
  • ※装置の装着により歯磨きがしにくくなりますので、歯磨きが不十分な場合、虫歯や歯の変色・歯肉炎や歯周炎が発生するリスクがあります。
  • ※歯を動かし終わった後に、リテーナーの不使用、舌癖や歯ぎしりなどの影響により、後戻りや新たな不正咬合が出現する場合があります。
  • ※その他「矯正歯科治療に伴う一般的なリスク・副作用」に関する詳細はこちらに掲載していますのでご参照ください。
  • ※表示されている「治療費概算」は、契約を行った当時の治療費(税込)です。現在の治療費の詳細については、料金表をご参照ください。

当院に関するご案内

費用に関するご案内

治療に関するご案内

その他

診療時間

  • 月・火・水・金

    12:00~15:00
    16:00~20:00
  • 土曜

    9:00~13:00
    14:00~18:00
  • 休診日

    木曜・日曜・祝日

診療カレンダー

アクセス

  • 仙台市青葉区国分町2丁目2-5
    柴崎ビル1F(大きな地図で見る)
  • 仙台市地下鉄南北線 広瀬通駅 西5番出口より徒歩5分
  • お車でお越しの方に、提携駐車場サービス券(最大1時間分)をお渡ししております。受付に駐車券をご提示ください。
    »提携駐車場のご案内はこちら。
スタッフブログ