不正咬合の特徴と治療法 デコボコ歯

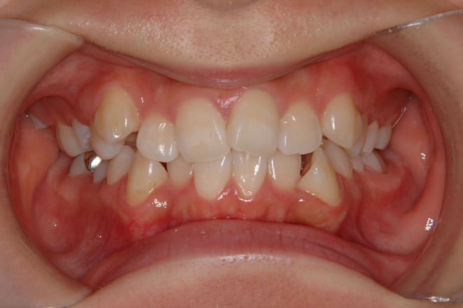
歯並びが凸凹しているため『でこぼこ歯』と呼ばれますが、一般的に『叢生(そうせい)』『乱杭歯(らんぐいば)』『Crowding(クラウディング)』とも呼ばれる不正咬合です。
その名のとおり、歯列が綺麗なアーチ状を呈しておらず、デコボコしている状態のため、歯磨きがしづらく磨き残しが多くなりがちで、虫歯や歯肉炎、歯周病のリスクも大きくなります。
原因としては、顎(あご)の大きさと歯の大きさのバランスが悪い(顎の大きさ>歯の大きさ)ため、歯が綺麗に並ぶことができずに、デコボコとなります。歯の萌出順序により、八重歯を呈することが多いことが特徴のひとつです。
治療法
顎に対して歯が大きいため、デコボコの状態となっています。顎と歯の大きさのバランスを整えるためには、顎を大きくするか歯を小さくする方法が考えられます。成長が止まっている場合には、顎を大きくすることは基本的に不可能であるため、歯列を前後または側方に拡大することになります。また、歯を小さくする方法は、程度により僅かに歯をダウンサイジングしたり、間引き(歯を抜く)することで顎と歯の大きさのバランスをとります。

お車でお越しの方に、提携駐車場サービス券(最大1時間分)をお渡ししております。受付に駐車券をご提示ください。