トップページ > 目立たない矯正治療

目立たない矯正治療

矯正治療というとギラギラした金属製の装置で治すというイメージをお持ちではありませんか?

透明な装置や歯の裏側に装置を着けて裏側から治す方法などの矯正治療があることをご存知でしたか?

「矯正の装置がはずかしい」、「職業柄目立つ装置での治療はできない」、「治療していることを他人に知られたくない」とお悩みで矯正治療に二の足を踏んでいるけど、でもやっぱり歯並びも治したいという方にお勧めする治療法です。

下記の3つの装置をご紹介いたします。

目立たない矯正治療装置
マルチブラケット装置:セラミックブラケット

従来の矯正装置(マルチブラケット装置)をより審美的に、目立たなくさせた装置がセラミックブラケット装置です。 セラミックでできており、日本人の歯にマッチするブラケットの色合いは、「歯になじむ」「歯と同化する」「歯に溶けこむよう」と高い支持を得ています。 セラミックブラケット装置と、白くコーティングしたワイヤーを用いた矯正治療は、非常に人気の矯正治療です。

注)ホワイトワイヤーは、日常の生活により一部コーティングが剥げてきます。
治療を進める上で、ホワイトワイヤーが使用できない場合もあります。
セラミックブラケット装置およびホワイトワイヤーは、オプション料金となります。

より目立ちにくい矯正治療装置
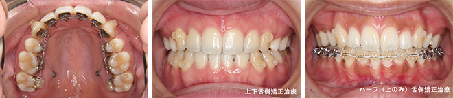
舌側矯正治療:歯の裏側に装置を装着して改善する治療法

金属で出来た装置を用いますが、歯の裏側に装置を付けるため、人知れず矯正治療を進めて歯並びの改善を行うことが可能です。

当院で使用している装置は、患者さんごとにカスタムオーダーメイドした装置を使用しています。 装置が非常に薄く、歯にフィットする装置のため、他社製の裏側の装置と比較して、違和感が少なく、虫歯ができにくいのが特徴です。

舌側矯正治療のメリットは、ほとんど気づかれなく矯正治療ができることにありますが、一方、話しにくいことや治療期間が長くなることなどのデメリットも挙げられます。

取り外し可能な透明な矯正装置
マウスピース型矯正治療:透明なマウスピースを使用した矯正治療

従来の矯正装置(マルチブラケット装置)とは全く異なった取り外しできる透明なマウスピース型矯正装置です。 完全なカスタムオーダーメイドで製造された透明なマウスピースによって、歯並びを少しずつ変化させ、綺麗な歯並びと良い咬み合わせに治していく矯正治療法です。

マウスピース型矯正治療の詳細はこちら

当院に関するご案内

費用に関するご案内

治療に関するご案内

その他

診療時間

  • 月・火・水・金

    12:00~15:00
    16:00~20:00
  • 土曜

    9:00~13:00
    14:00~18:00
  • 休診日

    木曜・日曜・祝日

診療カレンダー

アクセス

  • 仙台市青葉区国分町2丁目2-5
    柴崎ビル1F(大きな地図で見る)
  • 仙台市地下鉄南北線 広瀬通駅 西5番出口より徒歩5分
  • お車でお越しの方に、提携駐車場サービス券(最大1時間分)をお渡ししております。受付に駐車券をご提示ください。
    »提携駐車場のご案内はこちら。
スタッフブログ