トップページ > 不正咬合の特徴と治療法 > 前歯で咬めない

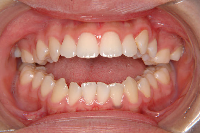
専門的には『開咬症(かいこうしょう)』『openbite(オープンバイト)」と呼びます。
上下の歯が咬み合わず開いてしまっている状態です。開いている部位により、前歯部開咬症、ラテラル・オープンバイトやトータル・オープンバイトなど呼ぶこともあります。物を効率よく咬み砕くことが困難であり咀嚼障害や発音障害などの機能的な問題が少なからず出てきます。また、奥歯だけしか咬み合わないような時には、奥歯への咬合力の負担が大きく、外傷性咬合などを引き起こし、歯の喪失の要因にもなります。
程度や骨格的なタイプにより治療法が異なりますが、インプラント矯正により奥歯を沈めこませることで咬み合わせをつけたり、前歯を挺出させて咬み合わせをつけたりします。受け口タイプの骨格の場合、外科的矯正治療での治療となることも十分考えられます。
不正咬合の一覧に戻る