トップページ > 不正咬合の特徴と治療法

不正咬合の特徴と治療法

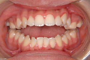
デコボコ歯

デコボコ歯

歯並びが凸凹しているため『でこぼこ歯』と呼ばれますが、一般的に『叢生(そうせい)』『乱杭歯(らんぐいば)』『Crowding(クラウディング)』とも呼ばれる不正咬合です。

詳細はこちらから
受け口

受け口

一般的には、『受け口』と呼ばれていますが、専門的には「反対咬合(はんたいこうごう)』『Crossbite(クロスバイト)』と呼びます。

詳細はこちらから
出っ歯

出っ歯

一般的に『出っ歯』と呼ばれることが多く、専門的には『上顎前突(じょうがくぜんとつ)』と呼びます。

詳細はこちらから
口元が出ている

口元が出ている(口ゴボ)

専門的には『上下顎前突(じょうかがくぜんとつ)』『Bi-maxillary protrusion(バイ・マキシラリー・プロトリュージョン)』と呼びます。

詳細はこちらから
前歯で咬めない

前歯で咬めない

専門的には『開咬症(かいこうしょう)』『openbite(オープンバイト)」と呼びます。

詳細はこちらから
咬み合わせが深い

咬み合わせが深い

専門的には『過蓋咬合:かがいこうごう』や『deepbite(ディープ・バイト)』と呼びます。

詳細はこちらから
ガミースマイル(笑うと歯茎が見える)

ガミースマイル(笑うと歯茎が見える)

ガミースマイル(gummy smile)とは、笑ったときに上唇が上がりすぎて、歯茎が目立つ状態を指します。スマイル時に3mm以上の歯茎が露出する場合と定義されます。

詳細はこちらから

当院に関するご案内

費用に関するご案内

治療に関するご案内

その他

診療時間

  • 月・火・水・金

    12:00~15:00
    16:00~20:00
  • 土曜

    9:00~13:00
    14:00~18:00
  • 休診日

    木曜・日曜・祝日

診療カレンダー

アクセス

  • 仙台市青葉区国分町2丁目2-5
    柴崎ビル1F(大きな地図で見る)
  • 仙台市地下鉄南北線 広瀬通駅 西5番出口より徒歩5分
  • お車でお越しの方に、提携駐車場サービス券(最大1時間分)をお渡ししております。受付に駐車券をご提示ください。
    »提携駐車場のご案内はこちら。
スタッフブログ